Radiologist Human
Kamis, 28 Juli 2011
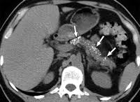
calcific pancreatitis
Tidak ada komentar:
Posting Komentar
Posting Lebih Baru
Posting Lama
Beranda
Langganan:
Posting Komentar (Atom)
Tidak ada komentar:
Posting Komentar