Radiologist Human
Kamis, 28 Juli 2011
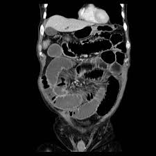
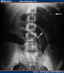
valvulae conniventes
2779845601_
d687de2c4c.jpg
Tidak ada komentar:
Posting Komentar
Posting Lebih Baru
Posting Lama
Beranda
Langganan:
Posting Komentar (Atom)
Tidak ada komentar:
Posting Komentar