Radiologist Human
Kamis, 28 Juli 2011
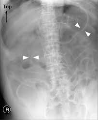
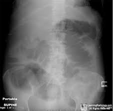
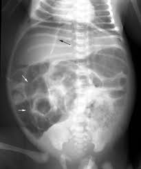
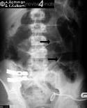
Rigler Sign
See the outline of the small and large bowel outlines - outlined by intraperitonial gas
Free air - Best seen in the right upper quadrant
Tidak ada komentar:
Posting Komentar
Posting Lebih Baru
Posting Lama
Beranda
Langganan:
Posting Komentar (Atom)
Tidak ada komentar:
Posting Komentar