Radiologist Human
Rabu, 23 November 2011
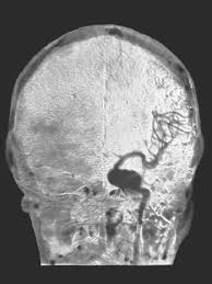
Cerebral aneurysm images
Tidak ada komentar:
Posting Komentar
Posting Lebih Baru
Posting Lama
Beranda
Langganan:
Posting Komentar (Atom)
Tidak ada komentar:
Posting Komentar